parcham سرمایه گذاری برای تولید
  • // - 09:03
  • - تعداد بازدید: 57
  • - زمان مطالعه : کمتر از یک دقیقه
  • /Zz97

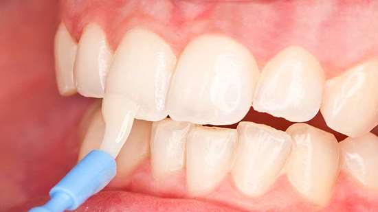
آغاز اجرای طرح وارنیش فلوراید کودکان 3 تا 6 سال و دانش آموزان 6 تا 14 ساله

طرح وارنیش فلوراید در کودکان 3 تا 6 سال و دانش آموزان 6 تا 14 ساله شهری و روستایی آغاز شد.

به گزارش « وب دا » مدیر گروه بهداشت دهان و دندان معاونت بهداشتی دانشگاه با بیان این مطلب گفت : به منظور پیشگیری از پوسیدگی دندان ها طرح وارنیش فلوراید در دو مرحله هر 6 ماه یک بار در مراکز روستایی در خانه های بهداشت و در مراکز شهری در پایگاه ها و مراکز جامع سلامت با همکاری آموزش و پرورش انجام می شود. 

دکتر « جمشید ربانی » تصریح کرد :   ۱۲۰ هزار دانش آموز تحت پوشش این طرح قرار خواهند گرفت.

این مسئول افزود : توزیع مسواک انگشتی برای کودکان زیر ۳سال و ترمیم دندان ۶ دانش آموزان پایه ششم ابتدایی نیز از دیگر خدمات قابل ارائه می باشد.


  • گروه خبری : آخرین اخبار دانشگاه
  • کد خبر : 6019
کلمات کلیدی
مدیر سیستم
خبرنگار

مدیر سیستم

تنظیمات قالب
عبارت خود را درج و جهت جستجو "Enter" را بفشارید